In breve:
Un team giapponese ha sviluppato il "mind captioning", un metodo che genera descrizioni testuali di immagini "percepite" o immaginate dal cervello, basandosi sull'attività cerebrale rilevata tramite MRI e successivamente elaborata tramite IA. Il sistema traduce quindi l'attività neurale in linguaggio, funzionando anche per i ricordi visivi.
Riassunto completo:
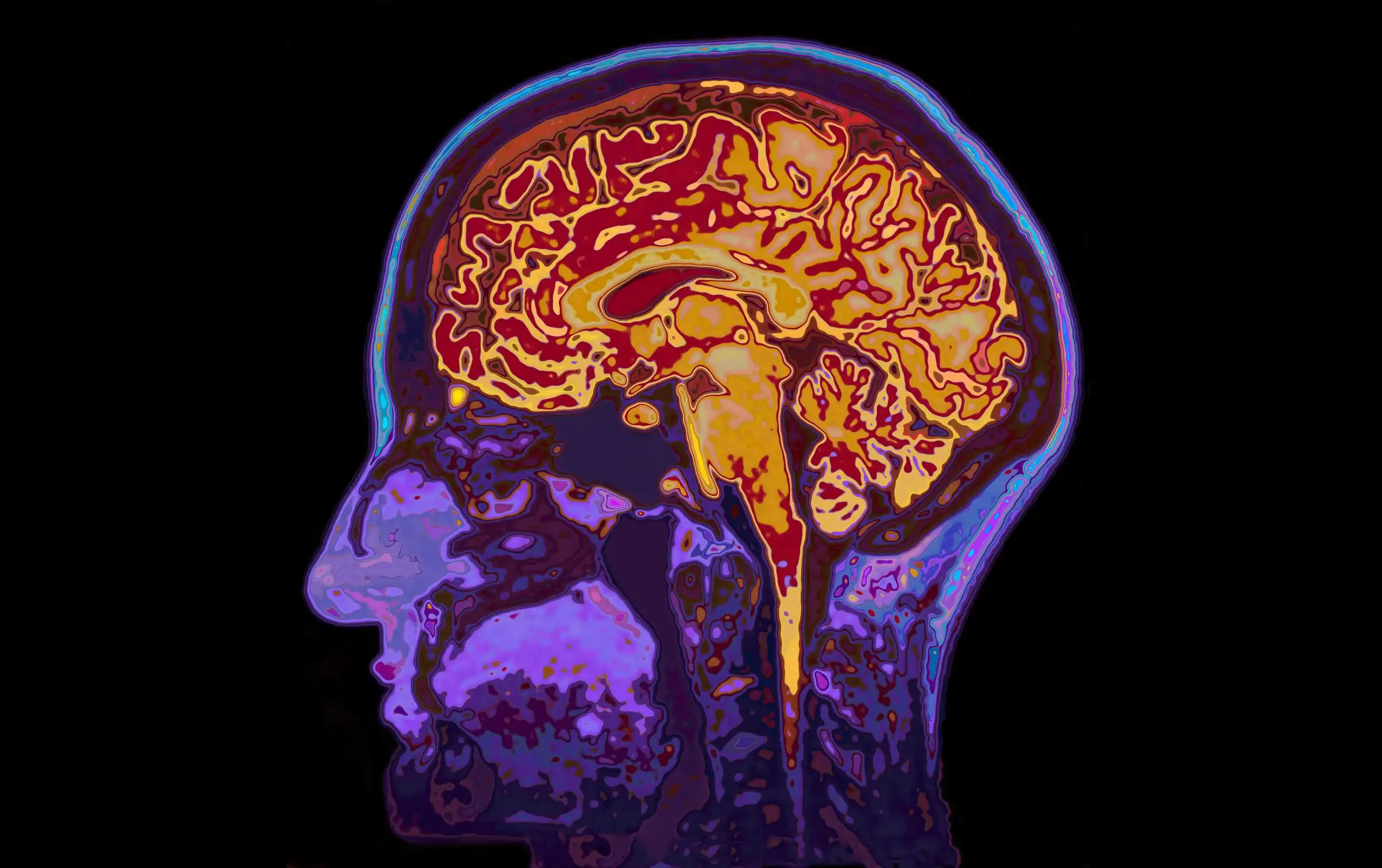
- Ricercatori giapponesi del NTT Communication Science Laboratories, guidati da Tomoyasu Horikawa, hanno sviluppato il "mind captioning", un metodo per generare testo descrittivo dall'attività cerebrale umana.
- Il sistema rileva l'attività cerebrale tramite scanner MRI mentre i volontari guardano video e la traduce in descrizioni testuali utilizzando l'intelligenza artificiale.
- Un'intelligenza artificiale è stata addestrata per collegare i dati cerebrali a "firme semantiche", ovvero rappresentazioni numeriche di significato, create da sottotitoli video elaborati da modelli linguistici.
- Successivamente, un altro modello linguistico genera frasi complete a partire da queste firme semantiche, affinando la descrizione attraverso un processo iterativo di sostituzione delle parole.
- Il "mind captioning" si è dimostrato efficace anche quando i volontari immaginavano i video, suggerendo che il cervello usa rappresentazioni simili per vedere e ricordare visivamente.
- La capacità del sistema di generare testo persiste anche escludendo le aree cerebrali tradizionalmente associate all'elaborazione del linguaggio, indicando che il significato è distribuito ampiamente nel cervello.
- Questa tecnologia offre potenziali applicazioni per la comunicazione in persone affette da afasia o malattie neurodegenerative che compromettono la parola, fungendo da "interfaccia interpretativa".
Leggere la mente
Anche questo è un trend seguitissimo in Morning Tech. Tempo fa abbiamo scritto un editoriale su un esperimento di Meta che concludeva con successo la trascrizione dei pensieri di utenti a cui era stato chiesto di scrivere un testo tramite una tastiera da computer. Inoltre seguiamo i lavori di Neuralink, Synchron e poche altre startup che sono concentrate sul controllo di device (come cursori o bracci robotici) tramite il pensiero. Siamo ancora lontani da poter dire di essere in grado di leggere la mente di un essere umano ma l'obiettivo è tutt'altro che poco realistico e tante sono anche le questioni che si sollevano attorno alla privacy.
Questo testo è un riassunto del seguente articolo (eng):

Alternativa in italiano:


